
Figure 1. (A) Light microscopy of kidney biopsy specimen shows mild mesangial proliferation and mesangial matrix expansion (periodic acid-Schiff stain; original magnification × 400). (B) Immunofluorescence microscopy of kidney biopsy specimen shows global mesangial staining with complement C1q (anti-C1q antibody immunofluorescence; original magnification × 400). (C, D) Electron microscopy of kidney biopsy specimen shows electron dense immune deposits in the glomerular mesangium with extension into the paramesangium (uranyl acetate, lead citrate stain; original magnification × 8,000 and × 15,000 respectively).

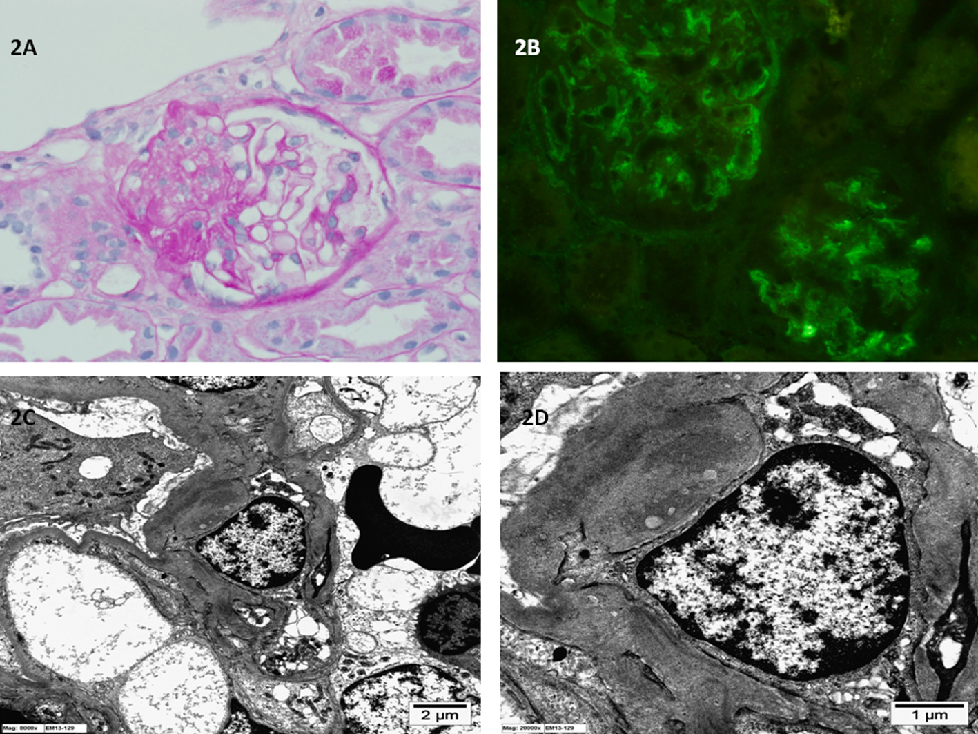
Figure 2. (A) Light microscopy of kidney biopsy specimen shows segmental sclerosis and the glomerular, basement membrane is of normal thickness (periodic acid-Schiff stain; original magnification × 400). (B) Immunofluorescence microscopy of kidney biopsy specimen shows global mesangial staining with complement C1q (anti-C1q antibody immunofluorescence; original magnification × 400). (C, D) Electron microscopy of kidney biopsy specimen shows electron dense immune deposits in the glomerular mesangium (uranyl acetate, lead citrate stain; original magnification × 8,000 and × 20,000 respectively).