| World Journal of Nephrology and Urology, ISSN 1927-1239 print, 1927-1247 online, Open Access |
| Article copyright, the authors; Journal compilation copyright, World J Nephrol Urol and Elmer Press Inc |
| Journal website http://www.wjnu.org |
Case Report
Volume 3, Number 1, March 2014, pages 58-62
Squamous Cell Carcinoma of the Urinary Bladder: A Clinicopathological Study of Four Cases and a Review of the Literature
Konstantinos Stamatioua, Eleni Cheliotib, d, Maria Sotirakib, Evdokia Efthymioub, Alexia Papalexandroub, Aikaterini Tsavaric, Kalliroi Kouliac, Thivi Vasilakakic, Maria Tsilivigkoub
aDepartment of Urology, “Tzaneion” General Hospital of Piraeus, Athens, Greece
bDepartment of Nephrology, “Tzaneion” General Hospital of Piraeus, Athens, Greece
cDepartment of Pathology, “Tzaneion” General Hospital of Piraeus, Athens, Greece
dCorresponding author: Eleni Chelioti, Agias Lavras 111str., 15773 Athens, Greece
Manuscript accepted for publication March 14, 2014
Short title: Squamous Cell Carcinoma of Urinary Bladder
doi: https://doi.org/10.14740/wjnu152w
| Abstract | ▴Top |
Squamous cell carcinoma (SCC) of the bladder is a relatively rare tumor. There are no specific diagnostic tests and it is usually diagnosed in advanced stage. Therefore, the prognosis is poor and most patients die. The only proved predisposing factor is chronic irritation of the bladder by urinary infection, calculi and long-term indwelling catheterization. Here we are reviewing the pathologic and clinical characteristics of four consecutive cases of this rare tumor. Three patients were males and the remaining one was female. The median age was 70.1 years (range, 62 - 74 years). Patients underwent transurethral resection of bladder tumor. In all the four cases, the diagnosis of bladder SCC was established on the pathologic examination of the resected tissue. Three out of these four patients died within 22 months of the diagnosis of SCC, while the remaining is alive and disease-free 2 years after initial. The aggressive nature of the tumor precludes radical therapy whenever possible, since adjuvant therapy seems to have little effect.
Keywords: Squamous cell carcinoma; Chronic indwelling urinary catheter; Chronic kidney disease
| Introduction | ▴Top |
Squamous cell carcinoma (SCC) of the bladder generally represents 2% to 7% of all urothelial cancers with considerable geographic variability in prevalence worldwide [1]. In the western world, SCC represents less than 5% of all bladder tumors. There are no specific diagnostic tests and it is usually diagnosed in advanced stage. Therefore, the prognosis is poor and most patients die. The only proved predisposing factor is chronic irritation of the bladder by urinary infection, calculi and long-term indwelling catheterization. Here we are reviewing the pathologic and clinical characteristics of four consecutive cases of this rare tumor.
| Case Report | ▴Top |
Three specimens of SCC of the bladder were obtained between 2010 and 2013 and all were received via consultation with one of the authors. The sections were fixed in 10% buffered formalin, processed in the standard fashion, embedded in paraffin, cut at 4 mm intervals and stained with H&E. Immunohistochemical staining was performed by the standard immunoperoxidase technique. The antibodies used included cytokeratin (CK 5, 6, 7) uroplakine III, prostate-specific antigen (PSA), P63, CK19, CK20 and cyclooxygenase 2 (COX-2). Cases were scored for the percentage of mixed component, necrosis and heterologous elements.
Patient demographics and prior history
Three patients were males and the remaining one was female. Their median age was 70.1 years (range, 62 - 74 years) and most of them were older than 70 years. One patient presented with de novo bladder cancer. Of note, the tumor was found accidentally by abdominal ultrasound. None of the remaining patients had a previous history of bladder cancer and there was no clear evidence of a bladder tumor in their initial assessment. In one of these two patients, the tumor was found in a bladder diverticulectomy specimen whereas the remaining patient underwent transurethral resection of a suspicious lesion of the bladder for diagnostic purposes. The diagnosis of bladder SCC was established by the pathologic examination of the resected bladder tissue in all four patients.
Detailed clinical features
Case 1
A 62-year-old man with no prior history of bladder cancer presented with chronic urinary retention. Upon ultrasound investigation, he was found to have an enlarged urinary bladder with a considerable amount of residual urine (greater than 1,000 mL). His prostate gland was 58 cm3. He also had at least three urinary bladder diverticulae of 3 cm diameter or greater (the larger of them had a diameter of 5 cm). A mild dilatation of both left and right renal pelvis was noted as well. His serum creatinine level was 6 mg/dL and his blood urea nitrogen was 97 mg/dL. He reported difficulty in urination in the last 6 months. A catheter was placed until the normalization of blood urea nitrogen and serum creatinine levels and the patient underwent the regular diagnostic workout. Intravenous pyelography and cystoscopy confirmed the findings of the ultrasound investigation. Urine cytology revealed abundant infectious cells; however, it was negative for malignancy. Digital rectal examination was normal and serum PSA value was 2.5 ng/mL. The patient underwent transurethral resection of the prostate and 7 days later bladder diverticulectomy. Difficulty in the detachment of the larger diverticula from the surrounding tissues during the procedure revealed a soft tissue mass arising from the diverticula wall and expanding to the adjacent fat and peritoneum. Histological examination diagnosed SCC of the bladder. Computed tomography (CT) scans of the abdomen and chest and complete gastroenterologic investigation excluded other locations.
Case 2
A 74-year-old male smoker with a history of recurrent non-muscle-invasive grade 2 urothelial carcinoma and few TUR-BTs was admitted to our department with a bladder tumor found accidentally by abdominal ultrasound. He was asymptomatic although he had a positive urine culture. Of note, his regular follow-up examinations (cystoscopy, urine cytology and abdominal ultrasound) 6 months prior his admission were normal. The patient underwent clinical and radiological evaluation: cystoscopy showed the tumor to appear as a solid mass located in the posterior bladder wall while the CT scan of the abdomen was suspicious for locally advanced disease (invasion of the vescical fat). CT scans of the chest, and brain as well as a bone scan were all negative for metastatic disease. Histologic examination of the TUR-BT specimens confirmed the diagnosis of locally advanced pure SCC of the bladder without urothelial element.
Case 3
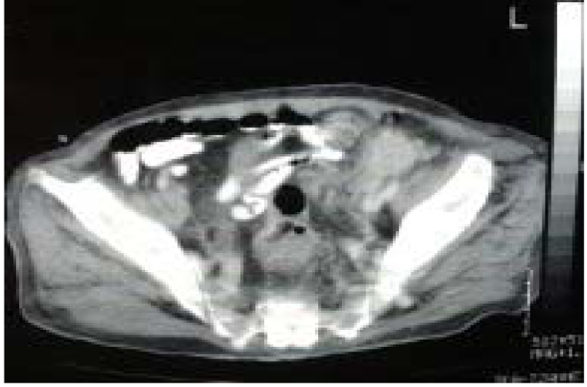
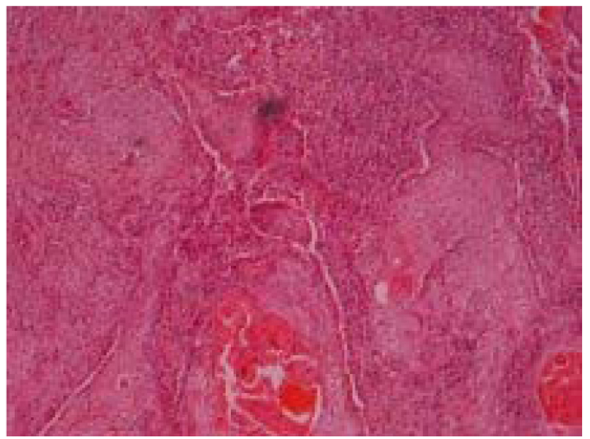
A 72-year-old patient suffering of chronic obstructive uropathy (benign prostate hypertrophy related renal insufficiency) and arterial hypertension was admitted to our hospital with anouria. His serum creatinine level was 8.5 mg/dL and his blood urea nitrogen was 387 mg/dL. He reported a long-term catheter use, for at least 5 years, because of prostatic hypertrophy and recurrent urinary retention. Physical examination revealed a palpable mass (probably corresponding to block nodes) in the left groin and an enlarged prostate gland. Abdominal ultrasound revealed excessive hydronephrosis and cortical thinning of kidneys, apparent thickening of bladder wall and a 120 cc volume prostate gland. CT of the abdomen showed a 6 cm solid mass in the left groin (Fig. 1), a small solid mass in the liver, left para-aortic and internal iliac lymph nodes and ipsilateral osteolytic lesions on the base of the pubo-ischial ramus and the pubic body. The bladder wall was thickened and the middle lobe of the prostate protruded in the lumen of the bladder. CT of the chest found no abnormalities. The patient’s renal function was improved after five dialysis sessions and bilateral placement of percutaneous nephrostomy tubes. He underwent transdermal biopsy of the mass. Histological examination diagnosed SCC of unknown origin (Fig. 2). Patient subsequently underwent additional tests. Urine cytology diagnosed uroepithelial atypia while cystoscopy revealed an ulcerated area on the left lateral wall above the ipsilateral vesicoureteral junction. Histologic examination of the TUR-BT specimens confirmed the diagnosis of stage II SR.
![]() Click for large image | Figure 1. Computed tomography (CT) of the abdomen showed a 6 cm solid mass in the left groin. |
![]() Click for large image | Figure 2. The biopsy specimen consisted partly of normal diverticula wall and partly of invasive keratinizing squamous cell carcinoma involving the diverticula wall and the full thickness of the adjacent bladder wall extending into the perivesical soft tissue. |
Case 4
A 71-year-old woman came to the emergency department of our hospital with gross hematuria. Her past medical history included episodes of cystitis caused by vesical stones. Bimanual examination and endoscopic evaluation revealed a fungating mass in the bladder neck measuring 3 × 2 cm in size. Cystoscopic biopsies were taken.
Histologic features
Case 1
The biopsy specimen consisted partly of normal diverticula wall and partly of invasive keratinizing SCC involving the diverticula wall and the full thickness of the adjacent bladder wall extending into the perivesical soft tissue (Fig. 2, 3). Surgical margins were not disease-free. Immunohistochemistry study demonstrated positive stain for cytokeratins (CK) 5, 6 and COX-2 and negative for PSA, CK19 and CK20 and P63. Some of the tumor cells were immunoreactive with P63 and uroplakine III. COX-2 was expressed homogeneously and intensely in the cytoplasm of neoplastic cells (Fig. 4).
![]() Click for large image | Figure 3. The biopsy specimen consisted partly of normal diverticula wall and partly of invasive keratinizing squamous cell carcinoma involving the diverticula wall and the full thickness of the adjacent bladder wall extending into the perivesical soft tissue. |
![]() Click for large image | Figure 4. COX-2 was expressed homogeneously and intensely in the cytoplasm of neoplastic cells. |
Case 2
The biopsy specimen had an overall volume of 5 cc. Histological examination showed a well-to-moderate differentiated squamous carcinoma. Squamous differentiation was characterized by irregular and infiltrative nests or sheets of polygonal cells with distinct cellular borders, eosinophilic cytoplasm and varying degrees of keratinization. The adjacent bladder epithelium showed dysplasia and SCC in situ along with extensive squamous metaplasia. Immunohistochemical study showed that the tumor cells were positive for CK5/6 and COX-2. Squamous metaplastic epithelium also expressed COX-2.
Case 3
Histopathology examination of percutaneous biopsy specimens revealed moderate differentiated SCC. In immunohistochemistry, the tumor cells were positively stained for CK5-6, partly positive for uroplakine III and negative for CK7 and PSA. Histological examination of the bladder biopsy also diagnosed stage II SCC with same immunohistochemical characteristics.
Case 4
Histological examination of the mass showed a well-to-moderate differentiated squamous carcinoma. Squamous differentiation was characterized by irregular and infiltrative nests or sheets of polygonal cells with distinct cellular borders, eosinophilic cytoplasm and varying degrees of keratinization. The tumor elicited areas of necrosis and demonstrated muscle wall invasion. The non-neoplastic tissue showed extensive squamous metaplasia. The immunohistochemical study showed that the tumor cells were positive for CK5/6 and COX-2 and negative for CK19 and CK20. Some of the tumor cells were immunoreactive with P63. COX-2 was expressed homogeneously and intensely in the cytoplasm of neoplastic cells. Squamous metaplastic epithelium also expressed COX-2.
Patient treatment and outcomes
Case 1
Despite extended surgical excision, tumor recurrence, bacterial infection and abscess were developed locally in due course. The patient did not respond to the antimicrobial treatment and underwent two more surgical interventions. He also developed distant metastases and died of septic shock, 26 days after the second intervention.
Case 2
The patient was unfit for radical surgical treatment and was advised to receive radiotherapy and adjuvant chemotherapy with cisplatin plus gencitabin. He was found with evidence of metastatic disease at the last follow-up (18 months after diagnosis); however, he refused treatment and died 8 months after the time of diagnosis.
Case 3
During hospitalization, the patient had recurrent UTI that was treated with appropriate antimicrobial therapy. The patient developed multiple visceral metastases and died 4 months after the time of diagnosis.
Case 4
The patient underwent staging and he was found with a T2N0M0 disease. He subsequently underwent radical cystectomy. Two years after initial diagnosis, he is alive and disease-free.
| Discussion | ▴Top |
SCC is a histologically distinct form of cancer. It arises from the uncontrolled multiplication of cells showing particular cytological or tissue architectural characteristics of squamous cell differentiation, such as the presence of keratin, tonofilament bundles or desmosomes. Epidemiological studies indicate that the development of SCC of the urinary bladder is closely associated with chronic inflammation of the urinary tract. In fact, SCCs occur in association with schistosomiasis in 83% of the cases [2]. Actually, the exact underlying mechanism is currently unknown. COX-2 is markedly expressed in all SCCs suggesting that chronic inflammation stimulates the production of COX-2 protein and that an increased COX-2 level in turn induces the development of SCC of the bladder affecting many biological features of this tissue including apoptosis, cell adhesion, angiogenesis and invasiveness [2].
Although less than 4% of SCC cases are at risk of metastasis and hence life-threatening [3], SCC of the bladder usually has poor prognosis as most patients die within a short period from the time of diagnosis [4]. Radical cystectomy with urinary diversion appears to be the treatment of choice but 5-year survival rates are still unsatisfactory ranging from 27% to 33%. Why this tumor exhibits a highly aggressive behavior when located in the bladder is not known. However, the natural history of this malignancy may be linked to its histological characteristic (squamous element) and its pathogenesis. The squamous element may be present in the bladder either as a result of metaplastic transformation of the normal mucosa or through differentiation of the conventional transitional cell carcinoma. Both represent an adaptive change which occurs in response to long-term irritation of the bladder mucosa. The pathogenesis of SCC of the bladder is not clearly understood; however, it is associated with the epithelial metaplasia. The last has been extensively investigated in the cervix: many studies demonstrated that the region of the epithelium which has undergone metaplastic changes is particularly susceptible because the immature metaplastic epithelial cells are susceptible to carcinogens and that most, if not all, cervical carcinomas develop there [5]. Respectively in the bladder, the fully differentiated normal urothelium subjected to metaplasia is gradually converted into another type epithelium composed by stratified squamous cells, which is susceptible to mutations. Additionally, keratinization and extend of squamous metaplasia seems to play an important role in the pathogenesis of SCCs. In fact, non-keratinizing squamous metaplasia, also known as vaginal metaplasia as it is mostly found in females, is limited (it normally occurs in the trigone of the bladder) and it is well defined. It does not have clinical significance and it is considered an anatomic variation, caused by a hormonal influx [6]. In contrast, keratinizing squamous metaplasia is associated with SCC. It is considered a pre-cancerous condition especially when more than 50% of the bladder surface is affected [7]. The exact pathophysiologic mechanism of the transformation from keratinizing squamous metaplasia to SCC is not clearly understood; however, it is mediated by the epithelial growth factor (EGFR) a tyrosine kinase that transduces signals controlling cell proliferation. Actually, an increased EGFR receptor activity has been reported in squamous carcinomas associated to previous squamous metaplasia of the bladder [8]. Enhanced activity of EGFR is also found in the bladder of patients with muscle invasive SCC derived from keratinizing squamous metaplasia. Of note, most of these cancers are invading the muscularis propria of the urinary bladder at the time of diagnosis [6, 9]. Interestingly, conventional urothelial carcinomas containing squamous cell component display highly aggressive behavior: more than 90% of these carcinomas are poorly differentiated (histological grade: G3) and most patients (76%) carrying these tumors are diagnosed at an advanced stage [10, 11]. Interestingly, the occurrences of disease recurrence and mortality rates of patients with transitional carcinomas with squamous differentiation are two-fold and four-fold higher than in patients without squamous differentiation respectively [10, 12]. Whether the unfavorable prognostic value can be attributed to squamous differentiation and if it is dependent on intrinsic biologic properties of the tumor are not known. It could be however assumed that the strong adhesion between cells that characterize SCCs may be associated with the aggressive nature of both primary SCCs and transitional carcinomas containing foci of squamous metaplasia. In fact, structures involved in cell-to-cell adhesion and cell adhesion molecules play a significant role in cancer progression. Moreover, cell-to-cell interactions of cancer cells with endothelium determine the metastatic spread. In addition, direct tumor cell interactions with platelets, leukocytes and soluble components significantly contribute to cancer cell adhesion, extravasation and the establishment of metastatic lesions [13]. It remains obscure, how during metastases, reduced adhesion (despite the presence of retentive cytokines) permits the cancer cells to migrate from the primary site while increased adhesion capacity permits the cancer cells to settle on the secondary environment. Evidence suggests that cells cannot effectively migrate unless they can establish a number of new adhesions; however, too much adhesion may impede translocation of the cell body. In confirmation to the above, expression of the adhesion molecule E-cadherin was not correlated with tumor progression, invasion and metastasis in the tumor cells of SCC human bladder cancer [14]. Whether and if cell adhesions serve as key sites for signal transduction and establishment of cell polarity remains also unknown.
In conclusion, efforts on early diagnosis and control of local recurrence should be addressed in order to improve survival of patients with SCC of the urinary bladder. While monitoring protocols required for the early control of local recurrence, future studies should target the relationship between cell adhesion motility and translocation since which may be important for effective chemotaxis.
Financial Disclosure
All authors declare that they have no relevant financial interests.
Conflict of Interest
None.
| References | ▴Top |
- Rausch S, Hofmann R, von Knobloch R. Nonbilharzial squamous cell carcinoma and transitional cell carcinoma with squamous differentiation of the lower and upper urinary tract. Urol Ann. 2012;4(1):14-18.
doi pubmed - Shirahama T, Sakakura C. Overexpression of cyclooxygenase-2 in squamous cell carcinoma of the urinary bladder. Clin Cancer Res. 2001;7(3):558-561.
pubmed - Chollet A, Hohl D, Perrier P. [Risk of cutaneous squamous cell carcinomas: the role of clinical and pathological reports]. Rev Med Suisse. 2012;8(335):743-746.
pubmed - Ghoneim MA, Awaad HK. Results of treatment in carcinoma of the bilharzial bladder. J Urol. 1980;123(6):850-852.
pubmed - Kurita T. Normal and abnormal epithelial differentiation in the female reproductive tract. Differentiation. 2011;82(3):117-126.
doi pubmed - Khan MS, Thornhill JA, Gaffney E, Loftus B, Butler MR. Keratinising squamous metaplasia of the bladder: natural history and rationalization of management based on review of 54 years experience. Eur Urol. 2002;42(5):469-474.
doi - Wiener DP, Koss LG, Sablay B, Freed SZ. The prevalence and significance of Brunn's nests, cystitis cystica and squamous metaplasia in normal bladders. J Urol. 1979;122(3):317-321.
pubmed - Guo CC, Fine SW, Epstein JI. Noninvasive squamous lesions in the urinary bladder: a clinicopathologic analysis of 29 cases. Am J Surg Pathol. 2006;30(7):883-891.
doi pubmed - Rambau PF, Chalya PL, Jackson K. Schistosomiasis and urinary bladder cancer in North Western Tanzania: a retrospective review of 185 patients. Infect Agent Cancer. 2013;8(1):19.
doi pubmed - Lagwinski N, Thomas A, Stephenson AJ, Campbell S, Hoschar AP, El-Gabry E, Dreicer R, et al. Squamous cell carcinoma of the bladder: a clinicopathologic analysis of 45 cases. Am J Surg Pathol. 2007;31(12):1777-1787.
doi pubmed - Beltran H, Robinson BD, Tagawa ST. Primary squamous cell carcinoma of the urinary bladder presenting as peritoneal carcinomatosis. Adv Urol. 2010:179250.
pubmed - Antunes AA, Nesrallah LJ, Dall'Oglio MF, Maluf CE, Camara C, Leite KR, Srougi M. The role of squamous differentiation in patients with transitional cell carcinoma of the bladder treated with radical cystectomy. Int Braz J Urol. 2007;33(3):339-345; discussion 346.
doi pubmed - Bendas G, Borsig L. Cancer cell adhesion and metastasis: selectins, integrins, and the inhibitory potential of heparins. Int J Cell Biol. 2012;2012:676731.
- Omran OM. CD10 and E-cad expression in urinary bladder urothelial and squamous cell carcinoma. J Environ Pathol Toxicol Oncol. 2012;31(3):203-212.
doi pubmed
This is an open-access article distributed under the terms of the Creative Commons Attribution License, which permits unrestricted use, distribution, and reproduction in any medium, provided the original work is properly cited.
World Journal of Nephrology and Urology is published by Elmer Press Inc.




